Case Studies

The dedication of a skilled dentist and ceramist can ensure that every patient receives the beautiful smile he or she expects. The following clinical cases demonstrate the potential of today's ceramic technologies and the skills of the Master Ceramist in achieving the optimal smile.

Implant Restorations

01 Implant Restorations

Implant Supported Fixed Metal Crowns - Maxillary 3-14, Mandibular 19-22, 28-30 (metal ceramic bridges)

View Case Study
Implant

02 Implant Restorations

Implant-Supported Hybrid Porcelain Bridge (White & Pink) - Maxillar & Mandible

View Case Study
img23

03 Metal Restorations

Metal Ceramics with Ceramtic Butt Sholders - Maxillary 4-13

View Case Study
img23

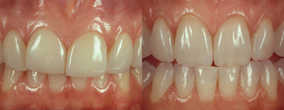
01 Porcelain Crowns - (High Performance Based)

Procera Alumina all Ceramics Maxillary 7-10

View Case Study
img23

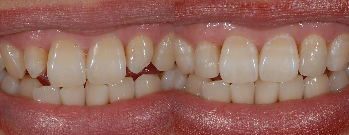
02 Porcelain Crowns - (High Performance Based)

Zirconia Ceramic Crowns Maxillary 3-14

View Case Study
img23

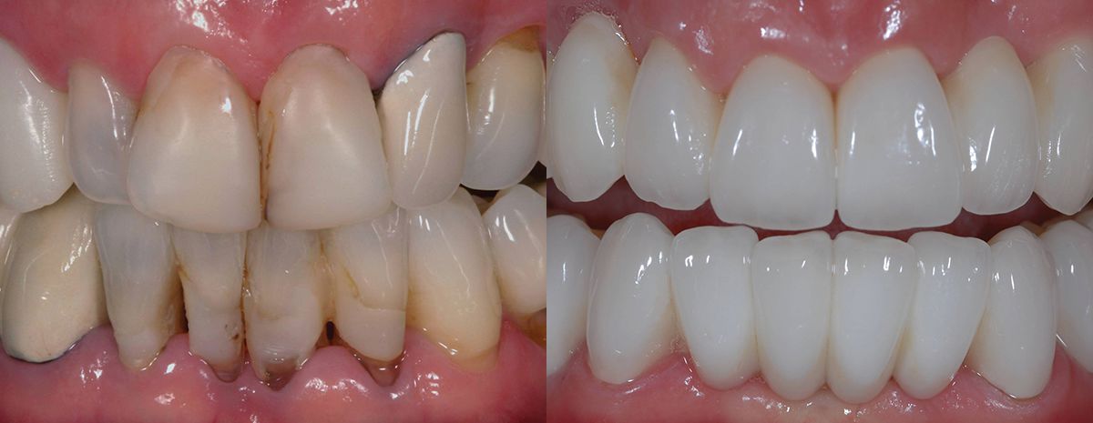
03 Porcelain Crowns - (High Performance Based)

Fixed Partical Denture in Zirconia Ceramic Bridges Maxillary 3-11, 14, Mandibular 19-30, Metal Ceramics 12-13

View Case Study