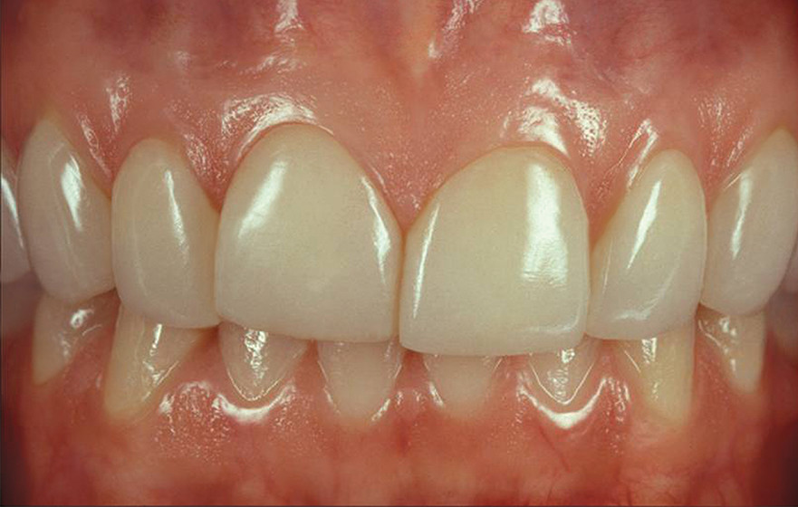
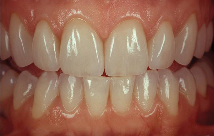
Laboratory: Chewing Pattern Established Laboratory: Tooth Preperation Design Final Smile Preview Design Laboratory: Porcelain build-up using layering technique Utilizing multi-colored porcelain to build tooth form