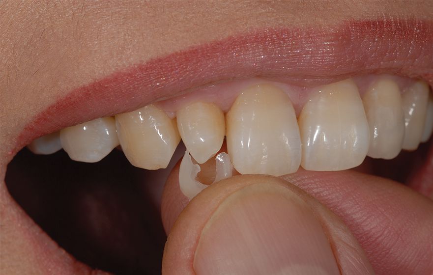
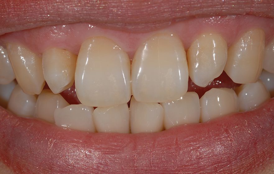
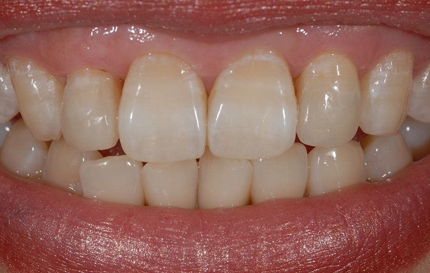
Non-preparation veneers shown in initial try-in stage Non-preparation veneers shown in initial try-in stage