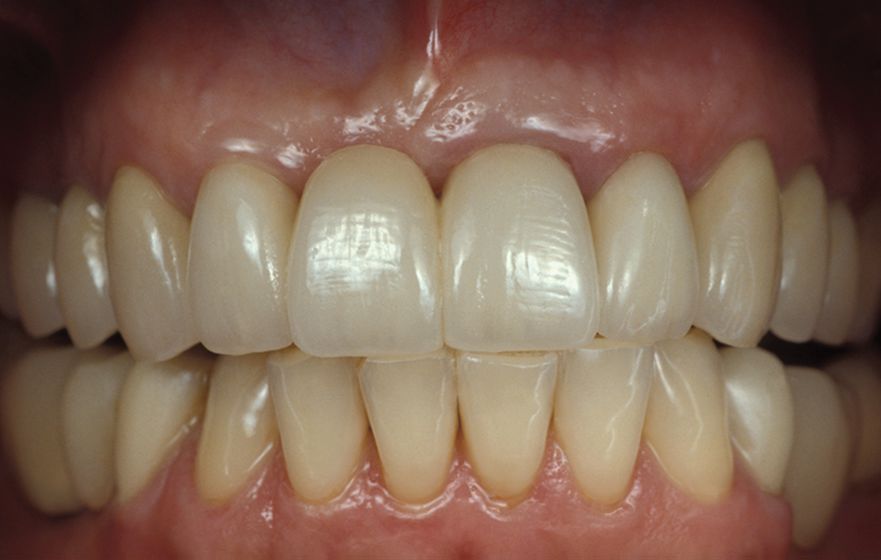
Laboratory: Preparation Model Laboratory: Wax design concepts Laboratory: 24K gold washed framework Multi-colored porcelain layering process High light refractory on the ceramic margins renders a unique fluorencence, contributing to superior blending near the gum line