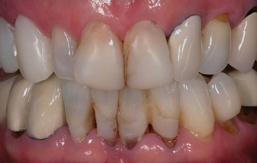
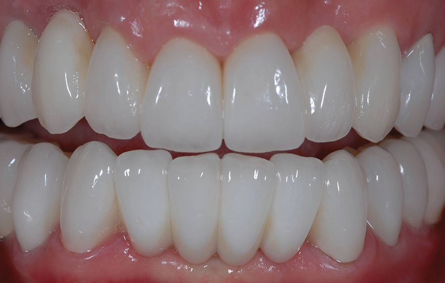
Porcelain Crowns: Case No. 3 (High Performance Ceramic Based)Fixed Partial Denture in Zirconia Ceramic Bridges - Maxillary 3-11, 14, Mandibular 19-30, Metal Ceramics 12-13
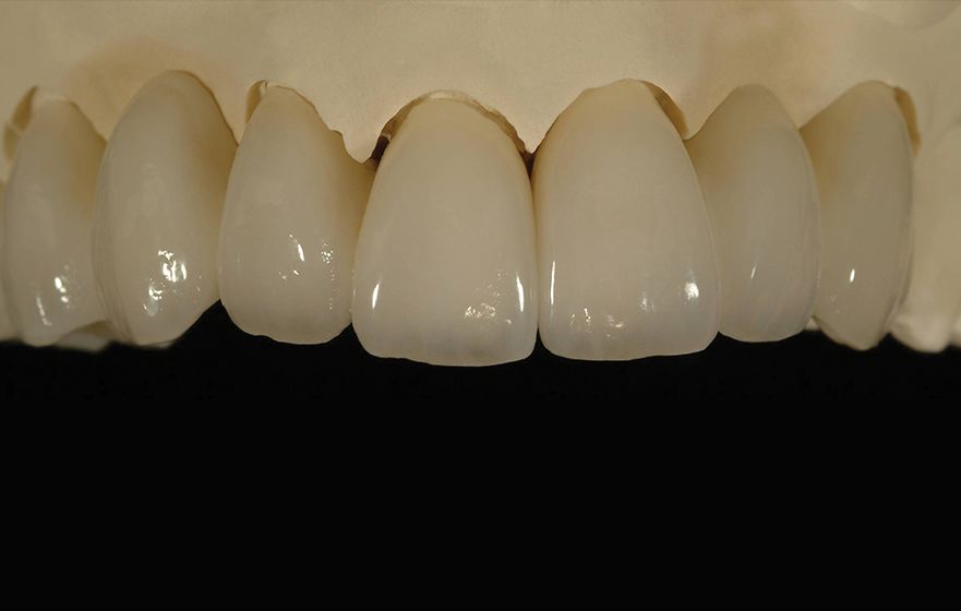
Light-reflective zirconia frame design Zirconia bridge framework Profile from right Profile from left Final Zirconia bridge with multi-colored layering technique Natural light Fluorescent light Iridescent light