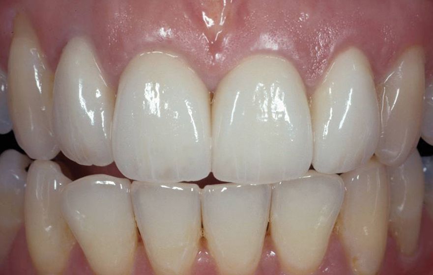
Porcelain Crowns: Case No. 1 (High-Performance Ceramic-Based) Procera Alumina All Ceramic Maxillary 7-10
Clinical preparation showing lack of support Laboratory: Design for proper support CAD/CAM milled ceramic before porcelain application Light transmission of CAD/CAM ceramic Custom multi-layer porcelain techinque over milled ceramics